
Achieve Your Dream Smile Fast with Porcelain Veneers!
Porcelain veneers will provide you with an amazing, charismatic smile that will attract people everywhere you go. An amazing, charismatic smile can change your life. It can impress someone you love, get you a new job, and also make you the center of attention in many situations.
Our skilled dentists at V Smile Family Dental can give you a new, confident smile with our porcelain veneers!
Your new smile will help you protect your natural teeth and give you a more elegant and glamorous look. You won’t just be improving the aesthetics of your smile. You will also be protecting your overall health with the improved function that porcelain veneers can give you.
In most cases, our porcelain veneers can get you a brand-new smile in as little as three office visits. So what are you waiting for?
Schedule Your no obligation, Porcelain Veneers Consultation NOW. Surprise your family and friends with your charismatic new smile.
What Are Porcelain Veneers?
They are a popular cosmetic dentistry treatment that can also correct your crooked, chipped, or discolored teeth. They are custom-made to fit your teeth and can improve the shape, size, and overall appearance of your smile.
They have a great appearance covering your front teeth. They are resistant to staining and can last a long time with proper care. If you’re looking for a long-lasting solution to achieve your dream smile, porcelain veneers are the perfect option for you!
The Porcelain Veneer Process
- Consultation With You About Your Needs: The first step in the veneer process is your consultation. We aim to meet all of your oral health needs and dental goals with this treatment. We’ll analyze your smile to create the virtually picture-perfect smile you deserve.
- Creating Your Custom Veneers: For this step, we will use our Digital Smile Design software. It will digitally render your new smile to a computer so we can show you how it will look. Our superb dental lab will also receive these plans and start creating your custom tooth-colored veneers.
- Preparing Your Smile For Veeners: At your next appointment, we will prep your teeth to ensure that they have a very strong bond. This involves trimming the enamel of your teeth, which will let them rest comfortably in your mouth without adding bulk to your teeth.
- Placement: We will place your veneers on top of your existing teeth. We will use a special bonding material that will permanently fix these veneers to your teeth. You will be able to enjoy your new charismatic smile for a long, long time.
What Issues Do Porcelain Veneers Address?
- Enamel Erosion: The enamel of our teeth does not heal or restore itself naturally. If your tooth is damaged or worn down from enamel erosion, it can be protected and its function restored.
- Chronic Discoloration: Most common natural tooth stains come from our favorite foods (like chocolate, coffee, or red wine). We place veneers made of stain-resistant porcelain on top of your natural teeth to cover any tooth stains. This way, our cosmetic dental procedure can give you a full smile makeover while also protecting your teeth.
- Misshapen Teeth: If your smile has some troublesome teeth that may be crooked, misshapen, short, or unevenly spaced, don’t worry! Porcelain veneers can address all of these cosmetic issues and more.
How Much Do Veneers Cost?
We will discuss the cost of your truly individualized treatment plan during your veneers consultation. We will work with you to get you the dental care you deserve at an affordable price. The average cost depends upon the type of veneers you choose and how much your insurance will cover.
Porcelain Veneers cost all depends on your unique needs. But rest assured we are here to provide you with a comfort and stress-free environment.
We offer easy, affordable financing and seek the maximum reimbursement of your treatment cost from your dental insurance companies.
Come in for a consultation, and we’ll provide you with a fixed cost estimate for your cosmetic treatment. We make sure to facilitate your dental needs with the utmost transparency and care.b
Schedule Your Porcelain Veneers Consultation At V Smile Family Dental
Do you want an effective and long-lasting way to boost the appearance of your smile? In as little as three office visits, you can have a brighter and healthier smile at V Smile Family Dental. Our dentist and staff will make sure our environment is comfortable for you to achieve your smile goals. We are 100% focused on giving you and your loved ones a beautiful, elegant smile that will last you a lifetime!
Schedule Your completely Porcelain Veneers Consultation NOW and surprise your family and friends with your charismatic new smile.
Call (214) 872-2700 now, and our friendly dental staff will schedule your porcelain veneers consultation at our dental clinic. Start your journey toward your confident and beautiful new smile today.
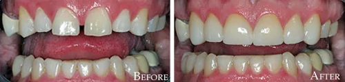
Cosmetic Before & After Photos of Our Patients


